Parodontosi: cos’è la malattia parodontale
La parodontosi, anche conosciuta come parodontite o piorrea, è una malattia che colpisce i tessuti che supportano il dente, ovvero: gengive, legamento parodontale, cemento radicolare e osso alveolare.
Questa condizione, se non trattata tempestivamente, può portare alla perdita dei denti e compromettere seriamente la salute orale.
Cos’è il Parodonto e come funziona
Il termine parodontale si riferisce all’insieme delle strutture che sostengono i denti, fondamentali per mantenerli stabili nell’alveolo. Queste strutture comprendono:
- Gengiva: il tessuto che circonda il dente, proteggendo i tessuti sottostanti.
- Legamento parodontale: una rete di fibre che collega il dente all’osso alveolare, fungendo da ammortizzatore durante la masticazione.
- Cemento radicolare: un sottile strato che ricopre la radice del dente, consentendo l’adesione al legamento parodontale.
- Osso alveolare: l’osso che sostiene i denti e li mantiene stabili all’interno dell’alveolo.
La Gengivite e la sua evoluzione in parodontite
La gengivite è una forma iniziale di infiammazione che riguarda solo le gengive e può essere facilmente trattata con un adeguata seduta di igiene orale professionale e con una corretta igiene orale domiciliare.
Tuttavia, se non trattata, la gengivite può evolvere in parodontite (è importante sottolineare che non tutte le gengiviti si sviluppano in parodontiti).
Quando si sviluppa la parodontite l’infiammazione colpisce tutti i tessuti di supporto del dente, compromettendone la stabilità.
Esistono forme di parodontite lieve, parodontite moderata o parodontite aggressiva, in base alla profondità della tasca ovvero al tessuto di supporto perso.
Parodontite cure e costi: i benefici superano sempre i costi
Affrontare tempestivamente la parodontosi è fondamentale per aumentare la probabilità del successo terapeutico.
Investire nel trattamento parodontale non chirurgico significa ottenere un enorme ritorno di salute: i benefici superano di gran lunga i costi.
La Parodontosi e il rischio per la salute generale
Non bisogna dimenticare che la parodontosi non è solo un problema locale. I batteri che proliferano nelle tasche parodontali possono entrare nel flusso sanguigno e viaggiare verso altri organi, aumentando il rischio di condizioni gravi come:
Malattie cardiovascolari
Diabete
Malattie respiratorie croniche
Complicanze in gravidanza
Per questo motivo, trattare la parodontite è fondamentale non solo per la salute orale, ma per il benessere generale del organismo.
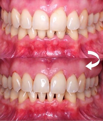
Come curare la parodontite: trattamenti e prevenzione
Il trattamento della parodontite parte da un esame di screening il sondaggio parodontale. Questo ci fornisce indicazioni sullo stato di salute del parodonto permettendoci di classificare la parodontite in parodontite lieve, parodontite moderata e parodontite aggressiva.
Una volta indicato il grado della malattia parodontale il paziente viene avviato a una serie di sedute di levigatura radicolare, ovvero la rimozione meccanica di placca e tartaro dalle superfici radicolari.

In alcuni casi la terapia può essere affiancata dal utilizzo del laser che contribuisce a migliorare l’ efficacia del trattamento grazie alla sua azione antibatterica e biostimolante . Per approfondimento puoi leggere Cura della parodontite con il laser.
La prevenzione è fondamentale: mantenere una buona igiene orale quotidiana, fare controlli regolari dal dentista e sottoporsi a sedute periodiche di igiene orale professionale.
In conclusione, prevenire e trattare la parodontosi è essenziale non solo per mantenere una buona salute orale, ma anche per prevenire problematiche più gravi a livello sistemico.
Investire nella cura della parodontite è un passo fondamentale per preservare la salute dei tuoi denti e di tutto l’organismo .
Domande Frequenti sulla Parodontosi
La perdita dei denti a causa della parodontite dipende dalla gravità della malattia. Senza trattamento, i denti possono diventare instabili nel tempo, ma con un intervento tempestivo è possibile evitare la perdita.
Sì, la parodontite può essere trattata con successo, specialmente se diagnosticata precocemente. Trattamenti come la levigatura radicolare sono molto efficaci nelle fasi iniziali.
Significa che la parodontite si è diffusa in diverse aree della bocca, colpendo più denti. Questo richiede un trattamento più esteso e completo.
No, la piorrea non è contagiosa, ma i batteri che la causano possono essere trasmessi attraverso la saliva. Tuttavia, una buona igiene orale è la principale prevenzione contro la malattia. In conclusione, prevenire e trattare la parodontosi è essenziale non solo per mantenere una buona salute orale, ma anche per prevenire problematiche più gravi a livello sistemico